Распространенность заболеваний печени постоянно растет, и как врач-гастроэнтеролог, я не понаслышке знаю об этом. Виной тому ухудшение экологической обстановки, неправильное и неполноценное питание. Впрочем, стоит быть объективными: играет свою роль также совершенствование методов диагностики и лечения – те патологии, которые ранее не выявлялись или были фатальными для пациента, теперь могут обнаруживаться на ранних стадиях, а с некоторыми из них можно успешно бороться. Это, в частности, очаговые поражения печени – о них и пойдет речь в публикации.
Определение и классификация
Очаговое образование печени – это группа патологических трансформаций структуры паренхимы (ткани) органа единичными или множественными объектами. Хочу подчеркнуть: такая формулировка не может выступать в качестве диагноза.
Любое изменение должно быть охарактеризовано в соответствии с существующей классификацией:
- Абсцесс.
- Киста.
- Опухоль.
- Посттравматическое поражение.
Рассмотрим подробнее, что они собой представляют.
Очаговое образование печени представляет собой локализованное изменение в тканях органа, которое может быть как доброкачественным, так и злокачественным. Врачи отмечают, что такие образования могут возникать по различным причинам, включая вирусные инфекции, алкогольную зависимость и метаболические нарушения. Диагностика включает ультразвуковое исследование, компьютерную томографию и магнитно-резонансную томографию, что позволяет точно определить природу образования.
Лечение зависит от типа и размера образования. В случае доброкачественных опухолей, таких как гемангиомы или аденомы, может быть достаточно наблюдения. Однако злокачественные образования требуют более агрессивного подхода, включая хирургическое вмешательство, химиотерапию или радиотерапию. Врачи подчеркивают важность ранней диагностики и индивидуального подхода к каждому пациенту для достижения наилучших результатов.

Абсцесс
Представляет собой полость с гнойным содержимым, имеющую границы со здоровыми тканями. Участок поражения может быть единичным или наблюдаются множественные зоны расплавления паренхимы.
По механизму развития выделяют абсцессы:
- первичные (вызванные гельминтами или амебами);
- вторичные (возникают при появлении гноя в содержимом кист и гематом, инфицирования областей расположения опухолей, гранулем).
Хочу обратить внимание на то, что в современной классификации существуют криптогенные абсцессы. Причину их появления выяснить не удается.
Киста
Это полость в паренхиме печени, заполненная жидкостью. В отличие от абсцесса, в ней находится не гной, а серозное содержимое; кисты бывают одиночными или располагаются в разных участках ткани (распространенное поражение). Кроме того, они делятся как:
- Истинные.
- Ложные.
Первая группа представляет собой врожденные изменения паренхимы, связанные с нарушениями в ходе эмбрионального развития или очаги при инфицировании эхинококком. К ложным кистам относят полости, образовавшиеся в результате травмы или воспалительного процесса, а также после оперативного вмешательства.
Очаговое образование печени — это термин, который используется для описания различных патологий, возникающих в печени, таких как опухоли, кисты или абсцессы. Многие люди, столкнувшиеся с этой проблемой, отмечают, что первое, что их беспокоит — это неопределенность и страх перед диагнозом. Важно понимать, что не все очаговые образования являются злокачественными. Часто они могут быть доброкачественными и не требовать серьезного вмешательства. Лечение зависит от природы образования: в некоторых случаях достаточно наблюдения, в других — может потребоваться хирургическое вмешательство или медикаментозная терапия. Важно обратиться к врачу для точной диагностики и выбора оптимального метода лечения. Многие пациенты подчеркивают, что своевременное обращение за медицинской помощью и регулярные обследования играют ключевую роль в успешном лечении и восстановлении.

Опухоль
Это объемные образования, возникающие при трансформации нормальных клеток печени – гепатоцитов. Если речь идет о злокачественных изменениях, говорят о малигнизации ткани и развитии рака.
Такая опухоль может быть классифицирована как:
- карцинома;
- саркома;
- гепатобластома.
Доброкачественные опухоли в паренхиме печени могут быть представлены как:
- Аденома.
- Гемангиома.
- Ангиомиолипома.
- Лимфангиома.
- Гамартома.
- Тератома.
Каждый из видов разделяется еще на несколько подтипов, уточняющихся при диагностике. Кроме того, выделяют вторичные, или метастатические злокачественные опухоли печени. Они развиваются при поражении кишечника, желудка, легких, молочной железы, пищевода.
Посттравматическое поражение
Это гематома, или полость, содержащая кровь (в том числе в виде сгустков). В «свежей» зоне повреждения есть жидкость, хорошо определяющаяся при использовании современных методов обследования (например, УЗИ), но по мере дальнейшего существования затронутая область может трансформироваться:
- в объемное очаговое образование с элементами отложения солей кальция, или обызвествления;
- в кисту.
Если гематома нагноится в результате проникновения инфекционных агентов в паренхиму, образуется абсцесс печени.
Причины
Очаговые изменения в печени могут быть приобретенными или врожденными. Таким образом, среди этиологических факторов их возникновения следует назвать:
- Пороки развития.
- Инфекции.
- Травмы брюшной полости и, в частности, печени.
- Воспалительные заболевания (гепатиты).
- Использование гормональных контрацептивов (повышает риск доброкачественных опухолей).
Неблагоприятный процесс в печени может иметь вторичный характер при патологиях рядом расположенных структур билиарного тракта, желудочно-кишечной, дыхательной и мочевыделительной системы.
Симптомы
Клиническая картина при очаговом заболевании печени зависит от того, о каком варианте патологии идет речь. Но я вовсе не преувеличу, если скажу, что даже одинаковые по масштабу поражения опухоли, абсцессы, кисты или гематомы могут иметь отличающиеся проявления у разных людей. Особенности симптоматики определяются множеством факторов, и общее состояние организма, пол, возраст и наличие хронических заболеваний играет не последнюю роль. Поэтому я предлагаю к рассмотрению классические варианты, но прошу учитывать: самостоятельно установить диагноз только по описаниям нельзя.
Полостные образования
Это те патологии, структурной основой при возникновении которых является формирование углубления в толще паренхимы печени – абсцессы, кисты и гематомы. Они могут быть одиночными или множественными.
Абсцесс
Характерны такие признаки как:
- общая слабость;
- лихорадка;
- озноб;
- болезненность в правом подреберье, эпигастрии.
Температура при абсцессе поднимается до высоких цифр (38-41 °C), однако у некоторых больных остается субфебрильной (в пределах 37,1–37,9 °C).
Вероятна желтуха, а также симптоматика заболевания, спровоцировавшего абсцесс (если речь идет о вторичной форме).
Киста
При этой патологии весьма часто наблюдается бессимптомное течение. Только при больших размерах полости, множественном поражении фиксируются жалобы на дискомфорт или болезненность в правом подреберье.
При осмотре может выявляться асимметрия живота, расширение вен передней брюшной стенки, выступающее на ее поверхности образование. Если происходит сдавление желчных протоков, возникает желтуха.
Гематома
Вероятна симптоматика:
- Боль в животе с иррадиацией (отдачей) в правое плечо.
- Вынужденное положение с ограничением подвижности.
- Слабость, «мушки перед глазами», липкий холодный пот при обильном кровотечении.
При инфицировании гематомы возникают лихорадка и озноб.
https://youtube.com/watch?v=Z8TSY9M7VI8
Объемные образования
Это группа опухолей любого типа, возникающих в паренхиме печени как доброкачественное образование, рак или вторичные метастазы. Они могут проявляться неспецифическими местными и общими симптомами.
Доброкачественные опухоли
Зачастую не имеют никаких клинических проявлений и обнаруживаются случайно (например, при проведении УЗИ). Иногда пациентов беспокоит дискомфорт и болезненность в правом подреберье, при компрессии желчных протоков возникает желтуха. При разрыве сосудистого образования вероятно обильное кровотечение (проявляется слабостью, падением артериального давления), при тромбозе – инфицирование (типична лихорадка, озноб).
Злокачественные опухоли
Симптоматика неспецифична и ярко проявляется, как правило, уже на поздних стадиях. Включает такие признаки как:
- тяжесть и тупая боль под ребром справа и в эпигастрии;
- общая слабость;
- чувство раннего насыщения, тошнота, плохой аппетит;
- потеря массы тела;
- желтуха.
Часто отмечается скопление жидкости в брюшной полости (асцит), истощение больного.
Метастазы в печени
Характеризуются как временно бессимптомным течением, так и дискомфортом или болезненностью в области правого подреберья и верхней половины живота, ухудшением аппетита, прогрессирующим снижением массы тела, желтухой.
Клиническая картина дополняется симптоматикой, связанной с основным опухолевым образованием и зависит как от локализации (места расположения), так и стадии течения и наличия осложнений.
Диагностика
Проводится с помощью комплексного лабораторно-инструментального обследования. Перед началом тестирования нужно оценить жалобы пациента и выполнить объективный осмотр с пальпацией живота.
Лабораторные методы
Это группа анализов для оценки функции гепатобилиарной системы и выявления признаков, характеризующих патологию печени:
- Общий анализ крови.
- Определение биохимических параметров (пробы печени, общий белок, щелочная фосфатаза).
- Коагулограмма (оценка активности свертывающей системы крови).
- Исследование уровня онкомаркеров.
При необходимости осуществляется поиск признаков инфицирования вирусами гепатита B, C (ИФА, или иммуноферментный анализ, ПЦР, или полимеразная цепная реакция).
Инструментальные тесты
При очаговых образованиях в паренхиме печени на первый план выходят методы визуализации – то есть те исследования, которые позволяют оценить структуру ткани, выявить полости или иные объекты, не встречающиеся в норме:
- УЗИ ОБП (ультразвуковое исследование органов брюшной полости);
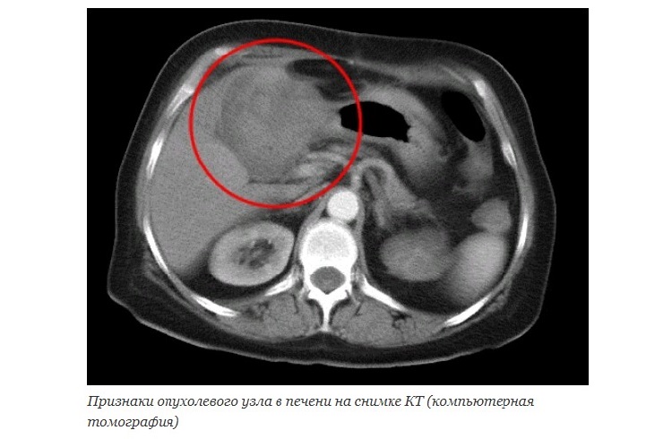
- КТ, МРТ (компьютерная, магнитно-резонансная томография);
- рентгенологические методики (обзорный снимок и тесты с использованием контрастирования);
- биопсия печени;
- ангиография.
В печени на УЗИ можно видеть гипоэхогенные образования с четкими контурами (при абсцессах, кистах) или объемные структуры (при опухолях). При этом формулировка «диффузно очаговые изменения печени» не является диагнозом, она лишь указывает на то, что затронута паренхима – причем не в одном, а как минимум в нескольких разных по локализации участках.
Лечение
При возникновении заболеваний внутренних органов, в том числе печени, нужен индивидуальный подход. Невозможно осуществлять терапию очагового поражения – это слишком размытый термин. Вначале необходимо уточнить, о какой именно патологии идет речь.
Гнойный очаг в печени необходимо устранить – поэтому пациенты в плановом или экстренном порядке госпитализируются для оперативного вмешательства. После выполнения манипуляций рекомендуется:
- В первые сутки – голод, строгий постельный режим.
- В дальнейшем – постепенная физическая активность, диета (стол 1, при нормальном состоянии – рацион №15).
- Антибиотикотерапия («Цефокситин», «Клиндамицин», «Меропенем»).
Если речь идет об амебном абсцессе печени, назначается «Метронидазол» для курсового приема. Если препарат окажется эффективным, операции можно избежать.
Тактика лечения выбирается в зависимости от того, насколько велики размеры образования, где именно в печени оно располагается и есть ли риск осложнений. При отсутствии показаний к хирургическому вмешательству рекомендуется наблюдение и повторение УЗИ каждые полгода. Если операция нужна, она проводится:
- методом иссечения кисты;
- резекцией (удалением) пораженного участка печени;
- пункцией полости под УЗИ или КТ-контролем.
При поликистозе может потребоваться трансплантация, или пересадка органа. Это наиболее радикальный подход, оправданный только при тяжелом течении патологии и распространенном поражении. В иных случаях применяются методики для опорожнения полостей, а также медикаментозные средства («Ланреотид» и аналоги).
Новообразования, даже доброкачественные, опасны осложнениями – тромбозом, разрывом и кровотечением, инфицированием и нагноением, а также компрессией, то есть сдавлением сосудов и желчных протоков. Поэтому при значительных размерах и локализации в зонах высокого риска их следует удалять хирургическим путем.
Если опухоль злокачественная (в том числе, когда речь идет о метастазах), помимо оперативных манипуляций применяются способы химиотерапии и лучевой нагрузки.
Могут также использоваться методики крио- либо термоабляции (воздействие на ткань очага поражения холодом или высокой температурой).
Гематома
Если посттравматическое повреждение выявлено сразу, может быть выполнена пункция (прокол) брюшной стенки под контролем УЗИ. При больших размерах гематомы, наличии нескольких очагов применяется оперативное вмешательство для остановки кровотечения и удаления сгустков.
При любом типе очагового образования печени я советую пациенту отказаться от алкоголя.
Спиртные напитки негативно влияют на метаболические процессы и провоцируют гипоксию (кислородное голодание) клеток органа, вызывают интоксикацию. Это, в свою очередь, может ухудшить прогноз.
Клинический случай
Сегодня мы рассмотрели достаточно объемную тему, и напоследок я хотела бы рассказать об одном из наиболее интересных случаев, связанных с выявлением очаговых образований печени. Так, ко мне на прием обратился мужчина в возрасте 34 лет, которого уже несколько месяцев беспокоил дискомфорт в правом подреберье, периодический метеоризм, тошнота. Иногда он замечал умеренную болезненность в эпигастрии. Также пациент жаловался на слабость и сообщил мне, что температура тела у него нередко повышена – в пределах 37,2–37,7 °C.
Такие симптомы принято называть неспецифичными – они свойственны многим патологиям. Но субфебрильная лихорадка меня насторожила; кроме того, при пальпации живота определялось наличие опухолевидного образования, а при опросе я выяснила, что мужчина занимается дрессировкой собак. Возникло подозрение на эхинококкоз – инфекцию, приводящую к формированию паразитарных кист в печени. После обследования диагноз был подтвержден, и так как удалось «перехватить» болезнь в неосложненной форме, пациент успешно прошел лечение.
Что же грозит тем людям, которые болеют, но не знают об этом? Эхинококкоз способен несколько лет протекать бессимптомно, но неизбежно возникает аллергия, интоксикация, а на поздних стадиях – осложнения в виде сдавления желчных протоков и сосудов, асцита, перфорации и нагноения паразитарной кисты вплоть до сепсиса. Поэтому на примере, описанном сегодня, я хочу показать необходимость серьезного отношения к очаговым образованиям печени и подчеркнуть важность своевременного обращения за медицинской помощью.
Вопрос-ответ
Может ли новообразование на печени исчезнуть само по себе?
Большинство доброкачественных опухолей печени остаются стабильными. В целом, наиболее распространенные доброкачественные опухоли печени — такие как гемангиомы и очаговая узловая гиперплазия (ОУГ) — как правило, сохраняют свой размер с течением времени. Обычно они не уменьшаются и не исчезают без лечения, но и не вызывают проблем.
Как лечится образование в печени?
Для лечения опухолей печени применяется резекция, малоинвазивные методы, химиотерапия, иммунотерапия. Рак печени — злокачественное новообразование, которое занимает пятое место в мире по распространенности у мужчин и девятое — среди женщин.
Советы
СОВЕТ №1
Регулярно проходите медицинские обследования, включая УЗИ и анализы крови, чтобы своевременно выявить изменения в печени и предотвратить развитие серьезных заболеваний.
СОВЕТ №2
Обратите внимание на свой рацион: уменьшите потребление жирной и жареной пищи, а также алкоголя, чтобы снизить нагрузку на печень и поддержать её здоровье.
СОВЕТ №3
При наличии очагового образования печени обязательно проконсультируйтесь с врачом-специалистом, который сможет назначить необходимые исследования и разработать индивидуальный план лечения.

