При заболеваниях гепатобилиарной системы назначаются многочисленные лабораторные и инструментальные тесты, так что порой пациенту трудно понять, зачем нужен тот или иной метод. Как практикующий гастроэнтеролог, я хочу сегодня рассказать об одном из самых информативных способов обследования, который называется «ангиография печени», подробнее остановившись на алгоритме проведения и требованиях к предварительной подготовке.
Базовые термины
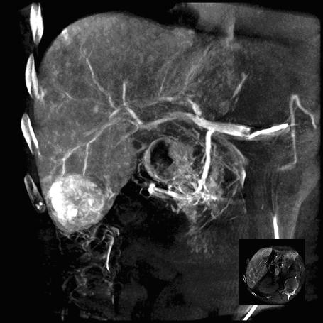
Ангиография – это исследование, использующееся для оценки состояния сосудов. Оно проводится в условиях стационара или отделения радиологии в поликлинике и основано на применении рентгеновского излучения.
Ангиография классифицируется как:
- общая;
- селективная, или избирательная.
В первом случае обследуются все ветви русла кровоснабжения, во втором – отдельные сосуды и сплетения.
Врачи отмечают, что ангиография печени является важным инструментом для диагностики и оценки сосудистых заболеваний этого органа. Методика позволяет визуализировать кровеносные сосуды, что помогает выявить опухоли, аневризмы и другие патологии. Специалисты подчеркивают, что правильная подготовка пациента и использование современных технологий, таких как компьютерная томография с контрастированием, значительно повышают точность исследования. Кроме того, врачи акцентируют внимание на необходимости соблюдения мер безопасности, чтобы минимизировать риски, связанные с введением контрастного вещества. В целом, ангиография печени считается высокоинформативным методом, который способствует более точной постановке диагноза и выбору оптимального лечения.

Об исследовании
Если врач рекомендует пройти ангиографию печени, полезно узнать, как она выполняется, может ли быть опасной для здоровья и какие патологии помогает обнаружить. Это исследование является специфичным – в отличие от, например, УЗИ органов брюшной полости, его применяют далеко не всем пациентам.
Особенности
Визуализация процессов гемодинамики, или кровотока в печени обычно относится к селективным методам обследования и реализуется как целиакография – серия снимков чревного ствола, отходящего от брюшной аорты.
Обратите внимание, что при ангиографии используются контрастные препараты. Это вещества, которые вводятся в организм для улучшения качества визуализации – то есть для того чтобы сосуды исследуемой области лучше были видны на снимках и не «терялись» в общей массе ткани (паренхимы) даже при небольшом диаметре проходимости.
Если «точкой входа» препаратов является общая печеночная артерия, говорят о гепатикографии. Также могут быть использованы методики заполнения контрастом ветвей воротной вены (портография).
Методика проведения ангиографии печени вызывает разнообразные мнения среди специалистов и пациентов. Многие врачи отмечают, что этот метод позволяет получить детальную информацию о сосудистой системе печени, что особенно важно при диагностике опухолей и других заболеваний. Пациенты, в свою очередь, часто выражают обеспокоенность по поводу инвазивности процедуры и возможных рисков. Однако большинство из них подчеркивает, что процедура проходит быстро и с минимальным дискомфортом. Важно, что ангиография помогает не только в диагностике, но и в планировании лечения, что делает её незаменимым инструментом в гастроэнтерологии. В целом, отзывы о методике в основном положительные, особенно когда речь идет о её эффективности и точности.

Показания
Потребность в ангиографии печени возникает, если есть необходимость оценить состояние сосудистого русла органа. Также с помощью исследования можно выявить новообразования, которые имеют особенности кровоснабжения, но нередко плохо видны или вовсе не выделяются на рентгеновских снимках или экране аппарата УЗИ без контраста.
Таким образом, проведение ангиографии печени обосновано, если подозревается:
- Новообразование (опухоль, киста).
- Аневризма.
- Пороки развития.
- Атеросклеротический процесс.
- Последствия фиброза, цирроза.
- Портальная гипертензия.
- Осложнение из-за травмы сосуда.
- Эхинококкоз печени.
- Наличие препятствия для кровотока (тромб, сдавление опухолью).
Ангиография также проводится в качестве исследования комплекса предоперационной подготовки при планировании вмешательств на брюшной полости в зоне печени и других структур гепатобилиарной системы.
Противопоказания
Ангиография для исследования состояния печени не выполняется, если наличествует:
- аллергия на препараты – как контрастные вещества, так и анестетики и любые другие лекарства, которые могут быть использованы в ходе процедуры;
- критическое общее состояние больного;
- выраженная недостаточность работы печени;
- тяжелая почечная дисфункция;
- острые инфекции;
- серьезные нарушения свертываемости крови;
- хронические заболевания в состоянии рецидива (возобновления симптомов).
Препятствием является также беременность и лактация (за исключением ситуаций, когда исследование жизненно необходимо) и неадекватное психическое состояние пациента, повышенная возбудимость, сильный страх перед процедурой.
Методика
Ангиография печени проводится следующим образом:
- Осуществляется премедикация (введение седативных препаратов) и местная анестезия или наркоз.
- Выполняется пункция бедренной артерии (обеспечивается так называемый трансфеморальный доступ).
- Вводится катетер, по которому будет поступать препарат.
- В сосуды подается рентгеноконтрастное вещество.
- Делается серия снимков с заданным интервалом (зависит от чувствительности аппаратов, выбранной методики визуализации).
- Извлекается катетер.
- Место пункции прижимается на 15 минут для остановки кровотечения.
- Накладывается повязка.
Хотя трансфеморальный доступ считается классическим, место пункции может меняться. Это заранее обсуждается с лечащим врачом. Ход процедуры для пациента выглядит так:
- больному предлагают лечь на специальную поверхность в виде продолговатого стола;
- место намеченной пункции дезинфицируют, если нужно – удаляют волосы с помощью бритвы;
- проводят манипуляции касательно анестезии (в том числе обезболивают участок прокола);
- выделяют зону вмешательства с помощью стерильной простыни;
- получают доступ к сосудам, вводят контраст по катетеру и делают снимки;
- убирают оборудование, прижимают место прокола и накладывают повязку;
- на два часа придавливают зону пункции специальным грузом;
- рекомендуют постельный режим около суток;
- запрещают сгибать ногу в тазобедренном суставе 12 часов.
Исследование занимает от 15 минут до часа, однако в некоторых случаях длится дольше. Оно проводится в больничной пижаме, после процедуры больного доставляют в палату на каталке (медицинские носилки на колесиках). Сутки пациент остается в стационаре. В ситуациях, когда врач считает возможным выписку домой до истечения этого времени, все равно нужно наблюдение на протяжении 6 часов.
Есть и пить можно понемногу через 60 минут после того, как пациент полностью пришел в себя (так как используется успокоительная терапия и наркоз, что вызывает сонливость и дезориентацию, иногда трудности с глотанием). Повязку (пластырь) убирают через сутки.
https://youtube.com/watch?v=QHMIzc2KCJ8
Подготовка
Перед исследованием нужно:
- Принять душ (за два-четыре часа).
- Осуществить бритье в области паховых складок (это делается медицинским персоналом приблизительно за 90-60 минут до манипуляций). Самостоятельно убирать волосы не рекомендуется, так как есть риск повредить кожу (а любые ранки и царапины мешают действиям врача) и инфицировать затронутые участки (что особенно опасно в связи с планируемой процедурой доступа к крупным сосудам).
- Ничего не есть и не пить утром в день вмешательства, вечером поужинать легко не позже 22.00.
- Убрать металлические украшения (например, брошки для пирсинга).
- Переодеться в больничную хирургическую пижаму или одноразовый халат.
Прошу помнить о том, что следует всегда сообщать врачу об аллергии на препараты.
Реакции чувствительности могут быть тяжелыми даже при введении минимального объема вещества, поэтому медицинская бригада должна знать о риске и принять, по возможности, меры профилактики. Обсуждать вопрос аллергии нужно заранее, но даже если произошло так, что вы вспомнили или узнали о непереносимости уже в день процедуры, не стоит стесняться заговорить об этом с врачом.
Вероятные осложнения
Риск не считается высоким, однако вероятны такие последствия как:
- кровотечение из области пункции;
- образование гематомы в месте прокола;
- аллергическая реакция;
- воздушная эмболия;
- повреждение сосудов;
- тромбоз;
- инфицирование.
Большинства осложнений можно избежать, выполняя рекомендации до и после процедуры. Важен сбор аллергического анамнеза; реакции чувствительности проявляются в виде сыпи и кожного зуда, бронхоспазма, тошноты, рвоты, отека Квинке, анафилактического шока. При возникновении онемения конечности, резкой бледности кожи в области бедра, появлении болезненности или промокании повязки кровью нужно срочно обратиться к врачу.
Вопрос-ответ
Что такое печеночная ангиография?
Гепатоангиография — это метод визуальной диагностики. С помощью рентгеновских лучей можно исследовать кровеносные сосуды, которые снабжают кровью печень. Для проведения исследования используется тонкая гибкая трубка (катетер). Катетер вводится в кровеносный сосуд через небольшой разрез.
Наиболее информативный метод диагностики очаговых поражений печени?
Наиболее информативным является иммунно-ферментный анализ (РИФА, ELISA). Реакция практически не имеет противопоказаний и применима для выявления эхинококкозов и рецидивов заболевания посредством их неоднократного проведения.
Советы
СОВЕТ №1
Перед проведением ангиографии печени обязательно проконсультируйтесь с врачом о возможных противопоказаниях и аллергических реакциях на контрастные вещества.
СОВЕТ №2
Убедитесь, что вы правильно подготовились к процедуре: соблюдайте рекомендации по голоданию и ограничению приема жидкости перед ангиографией.
СОВЕТ №3
После процедуры внимательно следите за своим состоянием и сообщайте врачу о любых необычных симптомах, таких как боль или отек в области прокола.


