Как врач-гастроэнтеролог, я часто сталкиваюсь с необходимостью дифференцировать, то есть отличать жалобы, свойственные доброкачественным состояниям (в частности, воспалению) от опухолевых процессов. За годы практики я пришла к выводу, что хотя бы обобщенные знания о тревожных симптомах полезны и для пациентов – поэтому сегодня на повестке дня метастазы в печень.
Причины
Вторичные поражения печени при злокачественных новообразованиях – вовсе не редкость. Больше того, я могу без тени сомнения утверждать, что нет другого органа, который столь часто становился бы мишенью для перемещенных раковых клеток.
Для начала нужно внести ясность в определение. Метастазы — это вторичные очаги опухолевого роста. Поражение печени возникает при наличии новообразования, располагающегося в брюшной полости или в отдаленных областях тела, но вне границ органа.
Источником может становиться опухоль с вариантом локализации:
- Поджелудочная железа.
- Внепеченочные желчные протоки.
- Надпочечники.
- Мочевой пузырь.
- Разные отделы кишечника.
- Легкие.
- Яичники.
- Пищевод.
- Матка.
- Почки.
- Желудок.
- Молочная железа.
- Меланома кожи.
- Кости.
- Яички, простата.
Транспортировка клеток из первичного очага происходит:
- по сосудам (артериальным, венозным);
- через лимфатические пути;
- посредством инфильтрации (прорастания) – если опухоль расположена рядом с печенью.
Вторичный очаг сохраняет черты источника. Иногда метастазы выявляются раньше, чем обнаруживается первоначально существовавший рак.
Врачи подчеркивают, что метастазы в печени могут проявляться различными симптомами, включая боль в правом подреберье, потерю аппетита, необъяснимую потерю веса и желтуху. Эти признаки часто возникают на поздних стадиях заболевания, что затрудняет раннюю диагностику. Важно, чтобы пациенты обращались к специалистам при первых подозрениях на проблемы с печенью.
Методы лечения метастазов в печени зависят от первичного рака, его стадии и общего состояния пациента. Врачи могут рекомендовать хирургическое вмешательство, химиотерапию, радиотерапию или таргетную терапию. В некоторых случаях применяется комбинация этих методов для достижения наилучшего результата. Важно, чтобы лечение проводилось в специализированных центрах, где команда врачей может предложить индивидуальный подход и учитывать все аспекты здоровья пациента. Регулярные обследования и мониторинг состояния печени также играют ключевую роль в управлении заболеванием.

Классификация
Метастатическое поражение печени встречается в десятки раз чаще, нежели первичное опухолевое преобразование паренхимы (ткани) органа. Известны случаи, когда оно выявлялось даже спустя годы после удаления источника.
Метастазы в печени классифицируются как вторичный рак. Они способны превышать размеры опухоли-источника.
Общая классификация
Метастазы делятся следующим образом:
- Солитарные (один очаг).
- Единичные (2-3 точки опухолевого роста).
- Множественные.
По размеру:
- до 2 см;
- от 2 до 5 см;
- более 5 см.
Выделяют также разрозненные и сливающиеся очаги.
По расположению в печеночной паренхиме вторичные точки опухолевого роста рассматриваются как:
- поверхностные;
- глубокие;
- центральные.
Они могут прилежать к сосудам, сдавливать их или располагаться удаленно (на расстоянии более чем 1,5 см) от крупных артерий и вен. При метастазировании в области протоков печени возможен холестаз – застой желчи.
Метастазы в печени — это серьезное осложнение, которое вызывает множество вопросов и опасений у пациентов и их близких. Люди часто делятся своими переживаниями о симптомах, таких как боль в правом подреберье, потеря аппетита, тошнота и желтуха. Эти проявления могут значительно ухудшить качество жизни и насторожить пациентов, заставляя их обращаться за медицинской помощью.
Что касается методов лечения, мнения варьируются. Некоторые пациенты рассказывают о положительном опыте химиотерапии и таргетной терапии, которые помогают замедлить прогрессирование болезни. Другие упоминают о необходимости хирургического вмешательства, если это возможно. Важно отметить, что подход к лечению индивидуален и зависит от стадии заболевания и общего состояния здоровья пациента. Многие подчеркивают значимость комплексного подхода, включая поддержку со стороны врачей, психологов и близких, что помогает справиться с эмоциональными и физическими трудностями, связанными с диагнозом.

Стадии
Охарактеризовать вторичный рак в клиническом смысле непросто, так как существует много вариантов поражения.
Одной из наиболее распространенных классификаций является разделение по прогрессу:
|
Критерий |
Символ |
Стадия |
||||
|
I |
II |
III |
IV |
|||
|
% поражения или объем опухоли |
H
|
↓25% |
25-50% |
↑50% |
||
|
Количество узлов |
S (одиночные) и m (множественные) |
S |
S, m |
|||
|
Затронуты обе доли |
b |
Нет |
Да |
|||
|
Инфильтрация рядом расположенных анатомических структур |
I |
Отсутствует |
Вероятна |
Характерна |
||
|
Нарушена функция печени |
f |
Возможно |
||||
|
Распространение рака вне границ гепатобилиарной системы |
Небольшое |
A |
Не наблюдается |
Обнаруживается |
||
|
Значительное
|
B |
|||||
Так, например, в соответствии с представленной классификацией вторая стадия метастатического рака печени может быть зашифрована в последовательности символов Smb, что значит поражение двух долей с распространенностью 25-50%, с наличием солитарного узла и множественных очагов.
Симптомы
На начальных стадиях развития метастатический рак никак не дает знать о себе. И если нет проявлений первичной опухоли, пациент не обращается за помощью – до тех пор, пока не возникают яркие признаки поражения печени, связанные с такими факторами как:
- Увеличение роста очагов.
- Растягивание капсулы печени.
- Сдавление желчных протоков.
Возникают явления интоксикации организма.
Основные признаки
Симптомы метастазов в печени выявляются только при достижении очагами вторичного рака значительных размеров; они включают:
- боли в животе, фокусирующиеся в зоне правого подреберья и эпигастрия, имеющие периодический или постоянный характер и порой иррадиирующие (отдающие) в лопатку, грудную клетку, плечо;
- нарушение аппетита, выражающееся в изменении вкусовых предпочтений, что может повлечь за собой отказ от определенных видов пищи или резкое снижение потребления еды вообще;
- тошнота, усиливающаяся при попытке поесть и рвота, которая не приносит ощутимого облегчения;
- чувство переполненности и распирания желудка;
- похудание вплоть до выраженного истощения.
Совет специалиста
Метастазы печени может сопровождать лихорадка – температура тела повышается до 37,5–38 °C. Согласитесь, что мало кто при появлении подобных симптомов задумывается о раке – даже истощение связывают с плохим аппетитом. Это еще один из факторов, из-за которых пациенты поздно обращаются к врачу – неправильное оценивание тяжести состояния. Однако я настоятельно рекомендую как можно быстрее пройти комплекс диагностических мероприятий при обнаружении даже нескольких из перечисленных симптомов. Да, это требует времени и затрат, но в таких случаях лучше перестраховаться.
Дополнительные симптомы
Признаком вторичных опухолевых заболеваний печени может быть:
- Слабость, сочетающаяся с повышенной утомляемостью.
- Избыточная потливость, возникающая не только днем, но и в ночное время суток.
- Раздражительность, нарушение сна.
- Кожный зуд, отличающийся высокой интенсивностью.
- Плохая переносимость физических нагрузок.
Вероятно развитие таких состояний как:
- анемия (снижение уровня гемоглобина);
- повышенная склонность к кровоточивости;
- приступы покраснения лица.
Не стоит забывать о симптоматике первичной опухоли – например, при поражении кишечника наблюдается боль в животе, расстройство стула по типу запоров, поносов или их чередования, наличие крови и слизи в фекалиях.
Осложнения
При холестазе наблюдается желтуха, для которой характерно не только изменение цвета кожных покровов, но и наличие таких симптомов как:
- Потемнение мочи.
- Осветление каловых масс.
Такая желтуха называется механической и значительно ухудшает состояние больного.
При крупных очагах может произойти развитие синдрома портальной гипертензии, связанного с нарушением кровотока в системе воротной вены.
Он проявляется следующими симптомами:
- асцит (скопление жидкости в брюшной полости);
- расширение вен на животе, это видно невооруженным глазом;
- увеличение селезенки – спленомегалия;
- варикозное расширение вен пищевода и желудка, что сопряжено с риском кровотечения.
В терминальной стадии рака признаки перед смертью – это:
- сильная слабость;
- желтуха;
- ярко выраженный асцит;
- невозможность нормально принимать пищу;
- истощение (кахексия).
Вероятно развитие печеночной недостаточности, повреждение опухоли и ее инфицирование или тромбоз.
Клинический случай
О вторичном раке печени говорят не так часто, как о других опухолях, но он очень распространен. Пациенты нередко обращаются к гастроэнтерологу из-за отсутствия аппетита, тошноты, периодической рвоты и боли в животе. Именно с такими симптомами ко мне на консультацию пришла женщина 67 лет. Она рассказала, что работала на лакокрасочном заводе, при детальном опросе дополнила жалобы дискомфортом в лонной области, периодическим наличием крови в моче.
Профессия пациентки входит в спектр факторов риска из-за контакта с канцерогенами. Результаты диагностических тестов (УЗИ, КТ, цистоскопия с биопсией, анализ на онкомаркеры) оказались неутешительными – обнаружился рак мочевого пузыря с вторичным поражением печени. К сожалению, невзирая на курс терапии, больная умерла.
Диагностика
Поиск метастазов в области печени проводится, если известно о предполагаемом источнике. Кроме того, вторичный рак может быть выявлен случайно (например, при выполнении обследования брюшной полости по другому поводу).
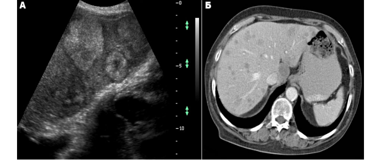
Среди методов, которые используются в современной диагностике вторичных опухолей печени, я могу назвать:
- УЗИ, или ультразвуковое исследование.
- Томография – магнитно-резонансная (МРТ), компьютерная, в том числе мультиспиральная (КТ, МСКТ), позитронно-эмиссионная (ПЭТ).
- Пункционная биопсия.
- Анализ на онкомаркеры.
- Ангиография.
- Рентген грудной клетки.
Обязательно проводится тестирование на вирусные гепатиты B, C.
Для оценки общего состояния пациента применяют общий и биохимический анализ крови, мочи, электрокардиографию (ЭКГ). Также требуется обследование по поводу первичного очага (например, колоноскопия с биопсией при поражении кишечника).
Лечение
Тактика при вторичном раке выбирается в зависимости от факторов:
- общее состояние пациента;
- размеры первичной опухоли и отдаленных очагов;
- наличие осложнений.
Далее речь пойдет только о том, как лечить метастазы, поскольку медицинское воздействие на их источник – это тема для отдельной публикации. Однако нужно понимать, что одно неотделимо от другого, и устранение вторичных новообразований – это не аналог выздоровления.
Лучевая и химиотерапия
Эти методы используются для паллиативной помощи – то есть с целью улучшения качества жизни пациентов, когда вылечить опухолевый процесс полностью нельзя. Еще один вариант применения – в сочетании с операцией и на этапе наблюдения (во избежание рецидива, повторного эпизода формирования очага). Однако он эффективен лишь на ранних стадиях.
Лекарственные противоопухолевые препараты вводятся:
- Системно (в вену, через рот).
- Локально (через катетер к зоне расположения опухоли).
Лучевая терапия может сочетаться с лекарственной поддержкой. Кроме того, разработаны методики (используемые пока что лишь в порядке эксперимента) внутрисосудистого введения радиоактивных препаратов. Накапливаясь в ткани опухоли, они губительно действуют на нее и тем самым достигается положительный эффект регресса.
Оперативное вмешательство
Лечить метастазы в печени можно хирургическим путем. Операция проводится в объеме резекции (удаления) пораженных участков.
При выборе метода оказания помощи может быть спланирована тактика:
- химиотерапия до или после операции;
- лучевое воздействие;
- удаление первичного очага (например, резекция толстой кишки).
Оправдано только при наличии небольших очагов и возможности воздействия на опухоль-источник, а также отсутствии высокого риска летальности. Не всегда доступно из-за большой площади затронутых тканей, вовлечения крупных сосудов, тяжелой интоксикации и кахексии, иных факторов.
Локальная деструкция
Это методы, вызывающие некроз (отмирание) клеток опухоли и тем самым разрушающие ее ткань. Используются в качестве альтернативы хирургическому вмешательству. Позволяют уменьшить массу очага, в комплексе с химиотерапией – замедлить рост.
Лечение метастазов в печени проводится с помощью методов:
|
Аблация |
||
|
Химическая |
Радиочастотная |
Криодеструкция |
|
Это инъекция (локальное введение) в опухолевую ткань этилового спирта. |
Основана на нагревании очага, что приводит к разрушению белков и некрозу. |
Синоним «вымораживание». Используется жидкий азот. |
Методы локальной деструкции не относятся к вариантам радикальной терапии опухоли. Они уменьшают ее массу, но при крупном очаге не могут помочь устранить все элементы неопластической ткани.
Манипуляции выполняют с использованием систем визуального контроля (УЗИ, КТ) с анестезией или под наркозом.

Прогноз
Метастатический рак – это априори неблагоприятный признак, поскольку означает наличие источника, не менее опасной злокачественной опухоли. Поэтому говорить о том, какие у больного перспективы для жизни, можно только после индивидуальной оценки состояния и полного обследования.
Согласно классификации прогресса заболевания, при метастазах в печени прогноз срока жизни соответствует:
|
Стадия |
Выживаемость |
Риск рецидива (эпизода повторного роста опухоли) |
|
|
I |
20-42% на 5 лет |
Низкий |
|
|
II |
В пределах периода (месяцев) |
10-14 |
Высокий |
|
III |
7-9 |
||
|
IV |
Неоперабельный рак |
||
Общая пятилетняя выживаемость при вторичном раке соответствует 5-6%. Прогноз ухудшается при распространенном метастазировании (не только в печень, но и другие органы), запущенной стадии развития первичного опухолевого очага, наличии у пациента гепатита B, C, цирроза, портальной гипертензии.
Вопрос-ответ
Какие основные симптомы метастазов в печени?
Основные симптомы метастазов в печени могут включать боль в правом подреберье, потерю аппетита, необъяснимую потерю веса, желтуху (пожелтение кожи и глаз), а также усталость и слабость. В некоторых случаях могут наблюдаться изменения в стуле и моче.
Как диагностируются метастазы в печени?
Метастазы в печени диагностируются с помощью различных методов, включая ультразвуковое исследование, компьютерную томографию (КТ), магнитно-резонансную томографию (МРТ) и биопсию печени. Эти методы помогают выявить наличие опухолей и оценить их размер и распространение.
Какие методы лечения применяются при метастазах в печени?
Лечение метастазов в печени может включать хирургическое вмешательство, химиотерапию, радиотерапию и таргетную терапию. Выбор метода зависит от общего состояния пациента, размера и количества метастазов, а также от первичного источника рака.
Советы
СОВЕТ №1
Регулярно проходите медицинские обследования, особенно если у вас есть факторы риска или предшествующие заболевания. Это поможет выявить метастазы на ранних стадиях, что значительно увеличивает шансы на успешное лечение.
СОВЕТ №2
Обсудите с врачом возможные методы лечения, такие как химиотерапия, радиотерапия или хирургическое вмешательство. Каждый случай индивидуален, и важно выбрать подходящий метод в зависимости от состояния здоровья и стадии заболевания.
СОВЕТ №3
Следите за своим питанием и образом жизни. Здоровая диета, богатая витаминами и минералами, а также регулярные физические нагрузки могут помочь поддерживать общее состояние организма и улучшить переносимость лечения.
СОВЕТ №4
Не стесняйтесь обращаться за поддержкой к психологам или группам поддержки. Эмоциональное состояние играет важную роль в процессе лечения, и общение с людьми, переживающими похожие трудности, может оказать положительное влияние на ваше самочувствие.


